Giselle López
banner
neurogiselle.bsky.social
Giselle López
@neurogiselle.bsky.social
Neuropathologist and scientist. Brain tumor researcher. Pathologist. Durhamite. Geek. she/ella
🇨🇺🇵🇷

#MedSky #PathSky #Latinsky

Tweets/retweets ≠ medical advice ≠ endorsement.
Reposted by Giselle López
Some tumor look-a-likes on this Friday:

Chordoid meningioma and chordoma can share similar features of cords of cells in a myxoid background. Chordoma shows diffuse nuclear Brachyury expression whereas chordoid meningioma is positive for SSTR2 helping to differentiate the two 🧠 #pathsky #neuropath
December 6, 2024 at 5:46 PM
Reposted by Giselle López
At the risk of perpetuating a stereotype, pathologists may not have the broadest networks. Appreciate anyone reposting and/or sharing directly

go.bsky.app/NgdtfJy
December 4, 2024 at 2:14 PM
Reposted by Giselle López
Wanted to recirculate my starter pack for #LatinMedsky! Let’s all give a shout out and a follow to the awesome Latino/Latina/Latine physicians out there!
November 14, 2024 at 1:06 AM
Stoked that ‘Our Secret Language’ made the list of top 10 most read ‘In My View’ articles over ten years at @pathologistmag 🎉🎉

Missed it? Check it out here:
thepathologist.com/outside-the-...
Our Secret Language
The role of the descriptive pathology report should not be lost in modern diagnostics
thepathologist.com
November 13, 2024 at 10:52 AM
Reposted by Giselle López
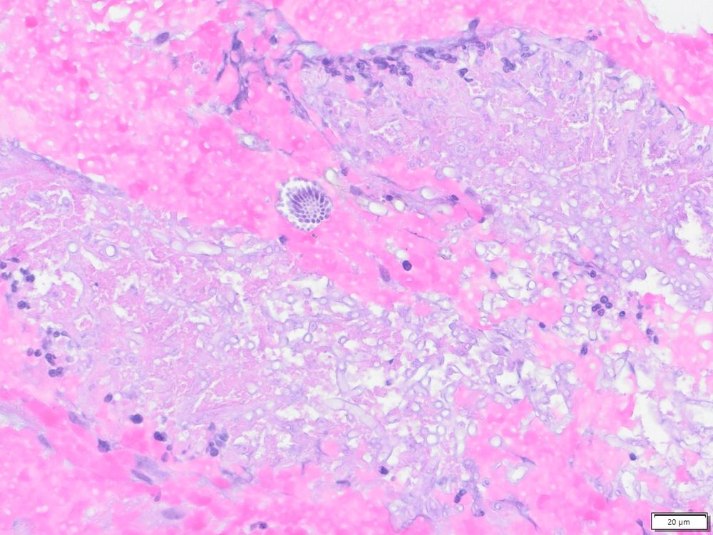
Myxopapillary ependymoma grossly has a characteristic sausage-shaped appearance. Commonly found associated with the filum terminale, it has a fibrillary glial appearance in a myxoid background. Though previously categorized as CNS WHO grade 1, it is now considered grade 2 #pathsky #medsky #neuropath
November 11, 2024 at 7:59 PM
Nice Shannon’s example #pathsky
Nice example of a schwannoma including an intact gross specimen and H&E stained sections showing Verocay body formation and some ancient change 🧠 🔬
November 10, 2024 at 12:55 AM
Reposted by Giselle López
How lucky we are to living on planet Earth at the same time as Rita Moreno. From Vanity Fair.
March 11, 2024 at 11:19 AM
Reposted by Giselle López
Just a few more days until the posting closes for our open spot for the 2024-2025 forensic pathology fellowship in Chicago! I know it's short notice, but please apply if interested. Posting closes Feb 16. cookcountyil.taleo.net/careersectio...

#4n6
#PathSky
#ForenSky
#Chicago
#MedSky
February 15, 2024 at 1:26 AM
Reposted by Giselle López
I am so sad. Another senseless shooting, this time at the Chiefs victory parade. One person has already died. 22 people were shot. 11 of those were CHILDREN. What is is going to take to make this stop? #GunViolence #ThisIsOurLane #EnoughIsEnough #GunReformNow #ChiefsParade
February 15, 2024 at 1:42 AM
Reposted by Giselle López
We have an opening for a 2024-2025 forensic pathology fellowship in Chicago! I know it's short notice, but please apply if interested. Posting closes Feb 16. cookcountyil.taleo.net/careersectio...

#4n6 #Forensky
#Pathology #Pathsky
#ForensicPathology
#Chicago
February 4, 2024 at 6:56 PM
Reposted by Giselle López
Refreshing to see a safety message that shares facts about a measure’s ability to reduce harm, rather than telling people how to behave. HT, @chapelhillgov!

#VisionZeroCH
📸 Laura Sandt
February 2, 2024 at 10:35 PM
Reposted by Giselle López
The Association of Women in Science is giving away copies of "Women in Science Now" in advance of my webinar on March 19th! Go to their site to enter to win a FREE copy. Deadline February 13: awis.org/women-scienc...
#WomeninSTEM 🧪
Women in Science Now: Stories and Strategies for Achieving Equity Book Giveaway - AWIS
Women in Science Now examines solutions to this persistent gender gap and new perspectives on how to make science more equitable and inclusive for all.
awis.org
January 30, 2024 at 8:50 PM
An important read for all physicians:
Medsky Pathsky
Opinion | How tens of thousands of Black U.S. doctors simply vanished
My mother was a beloved doctor. She is also a reminder, to me, of every Black doctor who is not here with us but should be.
www.washingtonpost.com
January 23, 2024 at 12:14 AM
Reposted by Giselle López
Something more work related: Smoking is still the main modifiable risk factor for lung disease. This is a typical finding - smokers macrophages and mucus spilling out from terminal airways into the alveoli.

In this stage changes are (mostly) reversible when the patient stops smoking.

#PathSky
January 18, 2024 at 4:07 PM
Reposted by Giselle López
Proof
December 21, 2023 at 5:54 PM
Reposted by Giselle López
The coronavirus is still killing 1,000 people in the US every week. Get your updated vaccine and wear a mask. COVID is not over.
December 7, 2023 at 5:51 PM
Yay, Durham Museum of Life and Science!
Do science with us at the Museum of Life and Science this Saturday and Sunday! #devpsyc
December 2, 2023 at 5:16 PM
Reposted by Giselle López
My bsky bubble consists mostly of nature lovers and naturalists which are happy to find little mushrooms, moss and lichen.

Here is the kind of fungi I find at work complete with conidiophores in a bronchial mucosa biopsy courtesy by @jgottlieb.bsky.social.
Not so happy but treatable!

#PathSky
November 13, 2023 at 3:10 PM
This is so important. I have a major cancer conference I have stopped going to because they don’t permit people still nursing infants to bring their infants into the conference spaces. Calls and emails to them were ignored. Not renewing my membership next year. Organizations need to do better.
"In response to studies that relate high rates of female attrition from biomedical research fields to the obligations of motherhood, researchers concerned about inclusivity are now debating the issue of weekend conference duties."
Researchers revolt against weekend conferences
Parents are pushing for employers to respect family time and keep meetings strictly to working hours. Parents are pushing for employers to respect family time and keep meetings strictly to working hou...
www.nature.com
November 2, 2023 at 11:57 AM
Reposted by Giselle López
🧪 Scientist?

🟦 New to BlueSky?

👀 Wanna find posts by other people in your area and use the right hashtags in your own posts?

📃 Here’s a list of over 170 science-related feeds and their hashtags.

#AcademicSky #PhDSky
BlueSky Science-Related Feeds
Sheet1 Likes,Name (Click to visit feed),Tags,Contact to ask to be added to contributor list 11,<a href="https://bsky.app/profile/did:plc:ftnzzw4cnon2pzpw7i5m2xu7/feed/aaaiqnkwsgsz6">#AI&HCI</a>,#HCI,...
docs.google.com
November 2, 2023 at 11:34 AM
Reposted by Giselle López
Good on NSW Health for this.

Wearing a well-fitted respirator is an excellent way to reduce risk of covid infection, for those who feel the need to reduce their risk. Be kind to those who choose this - you don't know their motivations (there are many good ones) and it's none of your business.
October 27, 2023 at 10:50 PM
Reposted by Giselle López
Hey forensic path folks! Cook County's 2025-2026 FP fellowship application is open! Closes Nov. 8, apply here: cookcountyil.taleo.net/careersectio...

MedSky
PathSky
4n6
October 11, 2023 at 1:58 AM
Reposted by Giselle López
Calling all medical examiners or current forensic path fellows: Cook County has posted for an assistant ME position! Apply here: cookcountyil.taleo.net/careersectio...

Closes Nov. 7. Check us out!
MedSky
PathSky
4n6
October 11, 2023 at 2:01 AM
Reposted by Giselle López
Scientists are a bunch of nerds:

Ed Southern invented a method for probing for DNA separated by gel electrophoresis: a 'Southern blot'.

So when a method was developed for probing *RNA*, they called it a "northern blot".

Similar jokers named a protein blot a "western blot".
September 30, 2023 at 1:16 AM