This was the biggest multinucleated giant cell of the week. SCC metastatic to bone. #SkyPath #PathSky #BSTPath #surgicalpathology
February 21, 2025 at 10:53 PM
Everybody can reply
5 likes
⚕️ 𝗧𝗵𝗼𝗿𝗮𝗰𝗶𝗰 𝗦𝗠𝗔𝗥𝗖𝗔𝟰-𝗗𝗲𝗳𝗶𝗰𝗶𝗲𝗻𝘁 𝗨𝗻𝗱𝗶𝗳𝗳𝗲𝗿𝗲𝗻𝘁𝗶𝗮𝘁𝗲𝗱 𝗧𝘂𝗺𝗼𝘂𝗿 (𝗦𝗗𝗨𝗧)⚕️
As discussion below:
www.linkedin.com/posts/trista...
#Pathtwitter #Pulmpath #BSTpath
As discussion below:
www.linkedin.com/posts/trista...
#Pathtwitter #Pulmpath #BSTpath
Tristan Rutland on LinkedIn: #oncology #pathology #smarca4 #thoracictumours #medicine…
⚕️ 𝗧𝗵𝗼𝗿𝗮𝗰𝗶𝗰 𝗦𝗠𝗔𝗥𝗖𝗔𝟰-𝗗𝗲𝗳𝗶𝗰𝗶𝗲𝗻𝘁 𝗨𝗻𝗱𝗶𝗳𝗳𝗲𝗿𝗲𝗻𝘁𝗶𝗮𝘁𝗲𝗱 𝗧𝘂𝗺𝗼𝘂𝗿 (𝗦𝗗𝗨𝗧)⚕️
🕑 5 min learning
Thoracic SMARCA4-deficient…
www.linkedin.com
December 17, 2024 at 11:58 PM
Everybody can reply
5 reposts
10 likes
November 22, 2024 at 11:05 PM
Everybody can reply
1 reposts
14 likes
Although not typically associated with a “round cell sarcoma” differential, solitary fibrous tumor can sometimes mimic small round cell type sarcomas such as Ewing sarcoma. #BSTPath, #UmichPath, #BSTpathGoBlue
March 16, 2025 at 6:12 PM
Everybody can reply
❌ Basal Cell Carcinoma
basaloid cells with peripheral palisading
seen in skin, not esophagus
#GIPath #PathSky #BSTPath #Pathology
basaloid cells with peripheral palisading
seen in skin, not esophagus
#GIPath #PathSky #BSTPath #Pathology
April 17, 2025 at 2:01 PM
Everybody can reply
1 likes
February 17, 2025 at 1:35 AM
Everybody can reply
1 reposts
4 likes
After an exceptionally successful career with over 31 years in the UCLA Department of Pathology and Laboratory Medicine, Dr. Scott Nelson has announced his retirement.
#Pathology #path2path #PathSky #BSTpath #OrthopaedicSurgery
#Pathology #path2path #PathSky #BSTpath #OrthopaedicSurgery
June 17, 2025 at 4:47 PM
Everybody can reply
Desmoid fibromatosis can sometimes exhibit histologic features which overlap with nodular fasciitis, including focal areas of a more haphazard spindle cell arrangement. #BSTpath, #UMichPath, #BSTpathGoBlue
February 8, 2025 at 11:36 PM
Everybody can reply
4 likes
Image of the Week!
Submitted by: Miruna C. Popescu, M.D.
Directory Profile: buff.ly/dc1Jnsa
Subspecialty: Bone, joints & soft tissue
Diagnosis: Plexiform neurofibroma
#Pathology #PathologyOutlines #BSTPath #PathSky
Submitted by: Miruna C. Popescu, M.D.
Directory Profile: buff.ly/dc1Jnsa
Subspecialty: Bone, joints & soft tissue
Diagnosis: Plexiform neurofibroma
#Pathology #PathologyOutlines #BSTPath #PathSky
July 9, 2025 at 5:13 PM
Everybody can reply
A legacy specimen photograph (> 55 yrs. old) of amputation for osteosarcoma involving distal femoral metaphysis. Sagittal section through knee jt. F = femur; P = patella; T = tibia. Both the femoral and tibial epiphyseal growth plates are clearly seen. #osteosarcoma #BSTPath
April 6, 2025 at 10:07 PM
Everybody can reply
1 reposts
3 likes
#pedipath x #bstpath
Rapidly growing neck mass
DX: Nodular fasciitis
SMA+
NEG: Desmin, Alk-1, S100, Sox-10
Mitoses and extravasated red cells are common
WSI: utexas.pathpresenter.net/public/displ...
Rapidly growing neck mass
DX: Nodular fasciitis
SMA+
NEG: Desmin, Alk-1, S100, Sox-10
Mitoses and extravasated red cells are common
WSI: utexas.pathpresenter.net/public/displ...
November 22, 2024 at 2:46 PM
Everybody can reply
1 likes
Dealing with an unusual fibromyxoid spindle cell neoplasm (that is MUC4 negative)? Consider PLAG1! #BSTPath, #UmichPath, #BSTpathGoBlue
April 13, 2025 at 1:38 AM
Everybody can reply
1 likes
❌ Adenoid Cystic Carcinoma
Cribriform architecture with small, uniform basaloid cells
Lacks the infiltrative nests and peripheral palisading typical of basaloid squamous cell carcinoma
#GIPath #PathSky #BSTPath #Pathology
Cribriform architecture with small, uniform basaloid cells
Lacks the infiltrative nests and peripheral palisading typical of basaloid squamous cell carcinoma
#GIPath #PathSky #BSTPath #Pathology
April 17, 2025 at 2:01 PM
Everybody can reply
2 likes
#pedipath X #bstpath ... Pretty example of a peripheral schwannoma in a young child. Retained INI-expression here supports non-syndromic origin. In contrast, a mosaic pattern of INI-1 loss could suggest underlying schwannomatosis.
WSI: utexas.pathpresenter.net/public/displ...
WSI: utexas.pathpresenter.net/public/displ...
#pedipath X #bstpath ... Pretty example of a peripheral schwannoma in a young child. Retained INI-expression here supports non-syndromic origin. In contrast, a mosaic pattern of INI-1 loss could suggest underlying schwannomatosis.
WSI: utexas.pathpresenter.net/public/displ...
#pedipath X #bstpath ... Pretty example of a peripheral schwannoma in a young child. Retained INI-expression here supports non-syndromic origin. In contrast, a mosaic pattern of INI-1 loss could suggest underlying schwannomatosis.
WSI: utexas.pathpresenter.net/public/displ...
bsky.app
December 17, 2024 at 2:57 PM
Everybody can reply
Image of the Week!
Submitted by: Addisu Alemu, M.D.
Directory Profile: https://buff.ly/3F9cOkI
Subspecialty: Bone, joints & soft tissue
Diagnosis: Bone - Erdheim-Chester disease
#Pathology #PathologyOutlines #BSTPath #PathSky
Submitted by: Addisu Alemu, M.D.
Directory Profile: https://buff.ly/3F9cOkI
Subspecialty: Bone, joints & soft tissue
Diagnosis: Bone - Erdheim-Chester disease
#Pathology #PathologyOutlines #BSTPath #PathSky
February 26, 2025 at 7:06 PM
Everybody can reply
1 reposts
5 likes
#pedipath X #bstpath ... Pretty example of a peripheral schwannoma in a young child. Retained INI-expression here supports non-syndromic origin. In contrast, a mosaic pattern of INI-1 loss could suggest underlying schwannomatosis.
WSI: utexas.pathpresenter.net/public/displ...
WSI: utexas.pathpresenter.net/public/displ...
December 17, 2024 at 2:52 PM
Everybody can reply
1 reposts
1 likes
Esophageal mass in 65-year-old man
Is it #TooCloseToDiagnose?? 🧐🧐
A) Basaloid Squamous Cell Carcinoma
B) Adenoid Cystic Carcinoma
C) Basal Cell Carcinoma
#GIPath #PathTwitter #BSTPath #Pathology
Is it #TooCloseToDiagnose?? 🧐🧐
A) Basaloid Squamous Cell Carcinoma
B) Adenoid Cystic Carcinoma
C) Basal Cell Carcinoma
#GIPath #PathTwitter #BSTPath #Pathology
April 17, 2025 at 2:01 PM
Everybody can reply
2 reposts
4 likes
It’s been 5 years! Time for an update to my #CAPvirtualPath lecture on #PediPath tumors! Just in time for the new academic year!
Instagram LIVE Monday, June 30, 8pm ET/5pm PT with live Q&A
#BSTpath #oncology @pathologists.bsky.social
Instagram LIVE Monday, June 30, 8pm ET/5pm PT with live Q&A
#BSTpath #oncology @pathologists.bsky.social
June 29, 2025 at 9:29 PM
Everybody can reply
1 reposts
2 likes
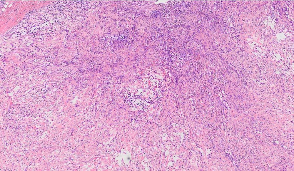
Cellular spindled histiocytic pseudotumor can sometimes be confused for inflammatory myofibroblastic tumor (or other spindled cell neoplasms). The spindled cells exhibit irregular grooved nuclei which suggest the tumor’s histiocytic nature. #BSTPath, #UmichPath, #BSTpathGoBlue
March 16, 2025 at 6:08 PM
Everybody can reply
Bizarre Parosteal Osteochondromatous Proliferation - a scary-looking benign lesion arising from the surface of small bones of hand & feet. Aka Nora lesion. Lobules of cartilage maturing into trabeculae of woven bone. Spindle cell proliferation between the bony trabeculae. #pathology #bstpath
March 7, 2025 at 2:44 PM
Everybody can reply
2 likes