American Journal of Kidney Diseases
banner
ajkd.bsky.social
American Journal of Kidney Diseases
@ajkd.bsky.social
AJKD, official journal of @kidney.org, is the leading source of information devoted to clinical nephrology research and practice. AJKD.org | AJKDblog.org | Organizer of #NephMadness @nephmadness.bsky.social
Pinned
In celebration of #KidneyWk, the entire November issue is FREE to access until November 30, 2025!

Check out the plain-language summaries on what inspired each study, the basic approach taken, what was learned, and why it matters:

bit.ly/3X1XpZj
Prevalence of the M1 Modifier p.N264K in APOL1 Among Individuals With Kidney Disease Undergoing Commercial Genetic Testing in the United States

bit.ly/48PB2xk (FREE)
November 24, 2025 at 5:01 PM
Eculizumab Prophylaxis for Systematic Rechallenging Gemcitabine in Gemcitabine-Induced Thrombotic Microangiopathy: A Case Report

bit.ly/3KjdHtJ
November 24, 2025 at 11:00 AM
EDITORIAL: Supportive Care for Patients Receiving Maintenance Hemodialysis: Why Nephrologists Should Care and What They Can Do

bit.ly/49lyt6q (FREE)
November 23, 2025 at 11:00 PM
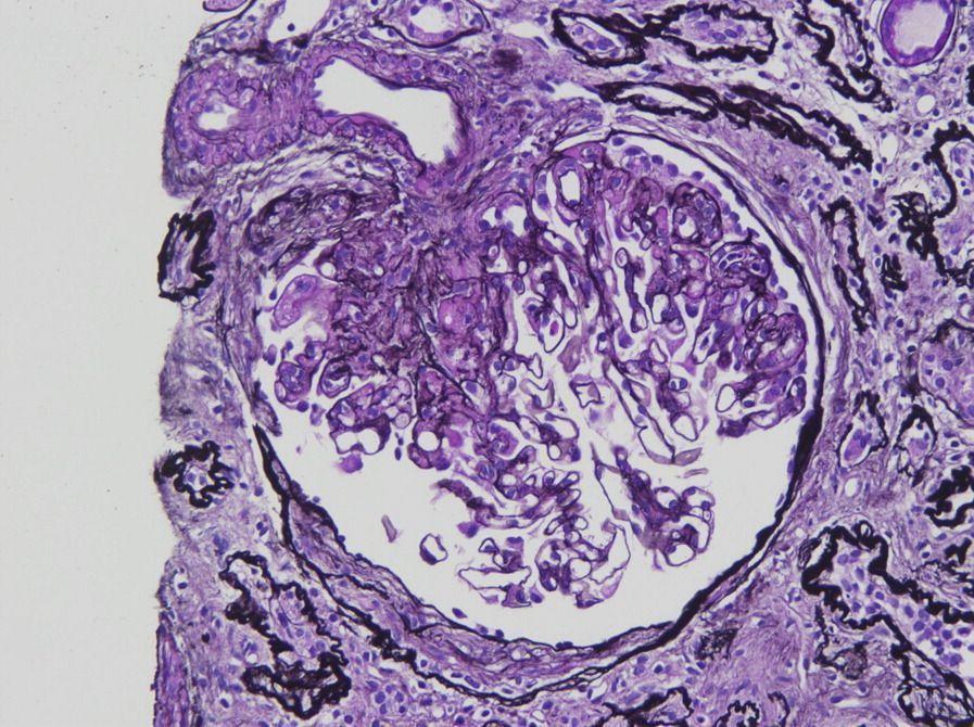
#RenalPath: C1q nephropathy w. segmental sclerosis w. increased mesangial matrix, obliteration of capillary lumens, adhesion to Bowman capsule (right half of tuft) Open left portion of glomerulus shows mild to moderate increase in mesangial cellularity

bit.ly/3XadOLx
November 23, 2025 at 5:00 PM
2025 AJKD Editors' Choice Award winning article: Explaining International Trends in Mortality on Hemodialysis Through Changes in Hemodialysis Practices in the Dialysis Outcomes and Practice Patterns Study (DOPPS)

bit.ly/3T0tz5V

@DOPPStudy @MichelJado1204 @brurobinson1 @ArborResHealth @UMichKidney
November 23, 2025 at 11:00 AM
Environmental Impacts of Kidney Replacement Therapies: A Comparative Lifecycle Assessment

bit.ly/3KNKibh #OpenAccess
November 22, 2025 at 11:07 PM
Patient and Center Factors in Home Dialysis Therapy Uptake: Analysis of a UK Renal Registry Cohort and a National Dialysis Center Survey

bit.ly/43qyMcf #OpenAccess
November 22, 2025 at 11:00 PM
Impact of the Type of Dialysate Acid Concentrate Container on the Environmental Footprint of Hemodialysis Centers

bit.ly/Cadenas25OI #OpenAccess

#VisualAbstract
November 22, 2025 at 11:00 PM
NEW on #AJKDBlog:

AJKDBlog’s Interviews Editor, Timothy Yau chatted with Kristen L. Nowak and Michel Chonchol about the complicated interplay between CKD and systemic inflammation, and new targets/pathways that could improve kidney and cardiovascular outcomes.

bit.ly/4o63tv6 (FREE)
November 22, 2025 at 5:00 PM
#Quiz from October 2025:

A 16-year-old male patient presented to an ED with a 3-week history of progressive headaches, nausea, vomiting, and bilateral blurry vision. Over the past 3 days, he developed chest pain and shortness of breath.

bit.ly/47iQnEo
November 22, 2025 at 11:00 AM
Sex and Mortality Risk in Patients Following Failure of a Kidney Transplant

bit.ly/Carija25OI

#VisualAbstract
November 21, 2025 at 11:00 PM
Association of Fatty Liver Disease and the Risk of Nephrolithiasis: Findings From Two Prospective Cohort Studies

bit.ly/4o63tv6
November 21, 2025 at 5:01 PM
Hilar variant of focal segmental glomerulosclerosis, with segmental sclerosis at the vascular pole with hyalinosis and adhesion (Jones silver stain)

bit.ly/49P5wQP (FREE)

#FSGS #renalpath
November 21, 2025 at 11:00 AM
Trends in Major Cardiovascular Events and Bleeding Among Patients With Advanced CKD: A Nationwide Swedish Study

bit.ly/4osse52 #OpenAccess
November 20, 2025 at 11:01 PM
Perspective by Taylor R. House, Ryan J. Coller, and Aaron Wightman:

Optimal Care to Promote Flourishing: Articulating the Purpose of Pediatric Nephrology

bit.ly/House25PERS
November 20, 2025 at 11:00 PM
What is Medicare Advantage and Why is it the Most Important Contemporary Policy Affecting Kidney Disease?

bit.ly/4o1O2Ed
November 20, 2025 at 5:02 PM
NEW on #AJKDBlog:

AJKDBlog’s Interviews Editor, Timothy Yau chatted with Kristen L. Nowak and Michel Chonchol about the complicated interplay between CKD and systemic inflammation, and new targets/pathways that could improve kidney and cardiovascular outcomes.

bit.ly/4o63tv6 (FREE)
November 20, 2025 at 11:00 AM
Glucagon-like Peptide-1 Receptor Agonists and Risk of Major Adverse Cardiovascular Events in Patients With CKD

bit.ly/49qlTTE (OPEN ACCESS)
November 19, 2025 at 5:04 PM
Review by Rochella A. Ostrowski:

Gout Management in Patients With CKD: A Review

bit.ly/49b9x1o
November 19, 2025 at 11:01 AM
Mini-Review by Ian Da Silva Lugo and Jaime Uribarri:

Tenapanor: An Update on Evidence of Effectiveness and Guidance on Practical Use

bit.ly/Lugo25MR (FREE)

@ismmskidney.bsky.social
November 18, 2025 at 11:00 PM
“A Change is Gonna Come” to Treatment of Lupus Nephritis: A Review

bit.ly/43X14f5
November 18, 2025 at 5:01 PM
Transition of Care of Kidney Recipients from Transplant Centers to Referring Nephrologists: Report From the American Society of Transplantation Controversies Conference

bit.ly/4o3SMJW
November 18, 2025 at 11:00 AM
NEW Commentary by Deborah Lee and Pascale Khairallah on the #AJKDBlog:

Toward a Successful Shared-Care Model for Kidney Transplant Recipients

bit.ly/43r6WNf

Article by Prince Anand et al: bit.ly/43v8dTr
November 17, 2025 at 11:01 PM
Health-Related Quality of Life After Living Kidney Donation: A Systematic Review and Meta-Analysis

bit.ly/47SMtCh #OpenAccess
November 17, 2025 at 5:03 PM
Exercise-Based Prehabilitation for Kidney Transplant Candidates: The FRAILMar Randomized Controlled Trial

bit.ly/P%C3%A9rez-S...

#VisualAbstract
November 17, 2025 at 11:00 AM