shehabanwer.bsky.social
@shehabanwer.bsky.social
🫀 Leading: Overcoming constrictive pericarditis diagnostic challenges—volume's importance? at #IJCVI.
🌐
Overcoming diagnostic challenges in constrictive pericarditis: why volume is important?
The International Journal of Cardiovascular Imaging - A 65-year-old male with chronic liver disease and refractory ascites was being evaluated for liver transplant, when constrictive pericarditis...
doi.org
December 7, 2025 at 7:54 PM
🫀 Pioneering: Discordant perfusion defects & #CAD in cardiac sarcoidosis—multimodality journey at #IJCVI!
🌐
Discordant myocardial perfusion defects and coronary artery disease – a multimodality imaging journey in the natural history of cardiac sarcoidosis
The International Journal of Cardiovascular Imaging - Cardiac sarcoidosis is a rare form of systemic sarcoidosis characterized by formation of non-caseating granulomas in the myocardium, leading to...
doi.org
December 7, 2025 at 6:33 PM
🫀 Essential: Right parasternal view in dobutamine stress #EchoFirst for AS assessment at #IJCVI!
🌐
Right parasternal view in dobutamine stress echocardiography for aortic stenosis assessment
The International Journal of Cardiovascular Imaging - Dobutamine stress echocardiography is an integral part of the evaluation of aortic stenosis (AS) severity in low-gradient AS. In transthoracic...
doi.org
December 7, 2025 at 4:30 PM
Valve-in-valve gradients: Muratori et al. on type & dilation effects—optimize TAVI! 🔧 #EHJIMP #CVImaging doi.org/10.1093/ehji...
December 7, 2025 at 3:02 PM
CMR trends in Italy: Monti et al.'s SIC survey—challenges & solutions! 🇮🇹 #EHJIMP #WhyCMR #CVImaging doi.org/10.1093/ehji...
December 7, 2025 at 1:35 PM
🫀 Spotlighting preload/afterload impact on cardiac function during spinal anesthesia at #IJCVI.
🌐
The impact of preload and afterload on cardiac function during spinal anesthesia
The International Journal of Cardiovascular Imaging -
doi.org
December 6, 2025 at 8:11 PM
Perivascular fat on CT—no prognostic add? Donà et al. question in TAVI patients! ❓ #EHJIMP #YesCCT #CVImaging doi.org/10.1093/ehji...
December 6, 2025 at 6:43 PM
3D US curvatures for valves? Karvandi et al. analyze structures—precision echo future! 📐 #EHJIMP #EchoFirst #CVImaging doi.org/10.1093/ehji...
December 6, 2025 at 4:43 PM
🫀 Innovative: MR elastography for liver fibrosis severity in post-Fontan vs. biopsy at #IJCVI.
🌐
Magnetic resonance elastography is useful to determine the severity of liver fibrosis according to liver biopsy in post-fontan patients
The International Journal of Cardiovascular Imaging - The reliability of various modalities for assessing and monitoring Fontan-associated liver disease compared to liver biopsy remains an...
doi.org
December 6, 2025 at 3:31 PM
🫀 Dive into phase analysis prognostic significance in HF via #SPECT MPI—meta-analysis at #IJCVI.
🌐
Prognostic significance of phase analysis using SPECT myocardial perfusion imaging in heart failure: a systematic review and meta-analysis
The International Journal of Cardiovascular Imaging - Left ventricular mechanical dyssynchrony (LVMD) is an important prognostic factor for heart failure (HF). Phase analysis of myocardial...
doi.org
December 5, 2025 at 8:54 PM
🫀 Advance with calcific vs. non-calcific plaque—CAD-RADS & FFRCT study at #IJCVI!
🌐
Calcific versus non-calcific plaque: a CAD-RADS and FFRCT study
The International Journal of Cardiovascular Imaging - Coronary Artery Disease-Reporting and Data System (CAD-RADS) standardises Computed Tomography Coronary Angiography (CTCA) reporting. Coronary...
doi.org
December 5, 2025 at 7:32 PM
Continuous 3D TEE + DL for peri-op LV? Yu et al. monitor strain live—surgery upgrade! 🏥 #EHJIMP #EchoFirst #CVImaging doi.org/10.1093/ehji...
December 5, 2025 at 5:52 PM
🫀 Fresh: RVOT fractional shortening—a novel PH diagnostic parameter at #IJCVI!
🌐
Right ventricular outflow tract fractional shortening: a novel diagnostic parameter for pulmonary hypertension
The International Journal of Cardiovascular Imaging - Pulmonary hypertension (PH) is a progressive vascular disease characterized by elevated pulmonary arterial pressure and resistance in the...
doi.org
December 5, 2025 at 4:31 PM
Handheld US + ML screens AS? Karmiy et al. make detection portable & smart! 📱 #EHJIMP #EchoFirst #CVImaging doi.org/10.1093/ehji...
December 5, 2025 at 3:06 PM
🫀 Breaking: RV function recovery in transthyretin amyloidosis post-tafamidis at #IJCVI.
🌐
Recovery of right ventricular function in patients with transthyretin cardiac amyloidosis after one-year tafamidis administration
The International Journal of Cardiovascular Imaging - Baseline cardiac functions are known to be potent predictors of cardiovascular events in the natural history of transthyretin amyloid...
doi.org
December 4, 2025 at 9:54 PM
Ischemia on stress echo sans CAD? Omar et al. probe prognosis—hidden risks exposed! ⚠️ #EHJIMP #EchoFirst #CVImaging doi.org/10.1093/ehji...
December 4, 2025 at 7:06 PM
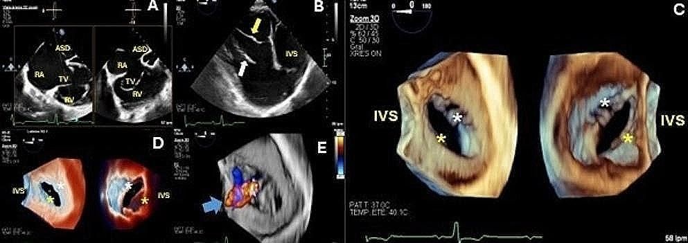
🫀 Essential: Imaging role in criss-cross heart diagnosis/approach—scoping review & cases at #IJCVI.
🌐
The role of imaging in the diagnosis and approach of criss-cross heart: a scoping review and case series
The International Journal of Cardiovascular Imaging - Criss-Cross Heart is a congenital cardiac condition characterized by the anomalous twisting of the ventricles relative to the atria during...
doi.org
December 4, 2025 at 5:33 PM
🫀 Unique angle: Lipid-related #radiomics of low-echo carotid plaques tied to diabetic stroke/non-diabetic CHD at #IJCVI!
🌐
Lipid-related radiomics of low-echo carotid plaques is associated with diabetic stroke and non-diabetic coronary heart disease
The International Journal of Cardiovascular Imaging - Carotid plaque radiomics-included models have increased the predictive capacity of cardiovascular risk, but the radiomic features of these...
doi.org
December 4, 2025 at 3:27 PM
SPECT MPI patient-focused: Abadie et al.'s EACVI consensus—better interpretations ahead! 📜 #EHJIMP #CVNuc #CVImaging doi.org/10.1093/ehji...
December 4, 2025 at 2:04 PM
Coronary aneurysms demystified: Sorathia et al. review imaging & mgmt—rare but critical! 🩺 #EHJIMP #CVImaging doi.org/10.1093/ehji...
December 3, 2025 at 7:11 PM
High-altitude peds echo norms by sex? Mekonnen et al. chart new standards—altitude matters! 🏔️ #EHJIMP #EchoFirst #CVImaging doi.org/10.1093/ehji...
December 3, 2025 at 5:04 PM
🫀 Paradigm-shifting: MI size & peri-infarction edema not major diastolic impairment determinants post-AMI at #IJCVI!
🌐
The size of myocardial infarction and peri-infarction edema are not major determinants of diastolic impairment after acute myocardial infarction
The International Journal of Cardiovascular Imaging - To study the relationship between myocardial infarction size (IS), myocardial edema, and diastolic dysfunction after acute myocardial...
doi.org
December 3, 2025 at 1:53 PM
🫀 Fresh: Dynamic stress #YesCCT myocardial perfusion accuracy in suspected NSTEMI at #IJCVI!
🌐
Accuracy of dynamic stress CT myocardial perfusion in patients with suspected non-ST elevation myocardial infarction
The International Journal of Cardiovascular Imaging - Coronary CT angiography (CCTA) and dynamic stress CT myocardial perfusion (CT-MPI) are established modalities in the analysis of patients with...
doi.org
December 3, 2025 at 12:32 PM