ARRS
@arrsradiology.bsky.social
770 followers 150 following 160 posts
The first radiology society in the United States. We publish @ajrradiology.bsky.social and @r3journal.bsky.social and are gearing up for #ARRS25 taking place in sunny San Diego. https://arrs.org/
Posts Media Videos Starter Packs
Reposted by ARRS
For AI to succeed, it has to feel invisible. Pranav Rajpurkar, PhD joins Ali Tejani, MD to discuss the design principles that will make or break the next generation of radiology AI tools, in this episode of the AJR Video Series on AI in Radiology.

www.ajronline.org/doi/10.2214/...
YouTube
Share your videos with friends, family, and the world
www.youtube.com
Reposted by ARRS
Radiologists are the key to diagnosing septic thrombophlebitis. This pictorial essay shows you what to look for to catch it early and avoid the most serious consequences.

r3journal.org/doi/10.2214/...
We're packing our bags for Pittsburgh, April 12-15, and we made you a guide to the best spots in the city. Learn more about our stellar learning line-up, and be the first to get early access (and a special discount) when you sign up for updates.

www2.arrs.org/am26/
Reposted by ARRS
Microvascular imaging provides next-level detail for tough calls like torsion or subtle plaques. See the proof in this clip from Michelle Robbin, MD's talk, part of the AJR Forum on Quantitative Ultrasound.

www.ajronline.org/doi/10.2214/...
Reposted by ARRS
The introduction of PSMA PET has fundamentally altered the imaging landscape for prostate cancer, prompting a critical debate over the current and future utility of conventional bone scintigraphy. A new point/counterpoint from AJR explores this topic.
Don’t forget to hit submit! Applications for the ARRS Scholarship are due today.

arrs.org/ARRSLIVE/ARR...
Applications for the ARRS Scholarship are due tomorrow!

arrs.org/ARRSLIVE/ARR...
Make those finishing touches and submit your ARRS Scholarship application before the Oct. 7 deadline!

arrs.org/ARRSLIVE/ARR...
The deadline is almost here! Submit your ARRS Scholarship application before it’s too late.

arrs.org/ARRSLIVE/ARR...
There’s still time! Apply for the ARRS Scholarship by Oct. 7

arrs.org/ARRSLIVE/ARR...
Reposted by ARRS
🦁 Roaring into the top 5! This week’s most-read AJR articles are the mane event.
Reposted by ARRS
From Lemierre syndrome to pylephlebitis and pelvic septic thrombophlebitis, infected thrombi have classic locations. This new R3 pictorial essay reviews the key multimodality imaging presentations so you're ready for the next case.

r3journal.org/doi/10.2214/...
Reposted by ARRS
This nationwide analysis investigates which specific radiologist and practice characteristics are most closely linked to the growing rate of workforce attrition.

www.ajronline.org/doi/10.2214/...
Reposted by ARRS
This review highlights neurotoxic complications of cancer therapies and details how advanced imaging can guide clinical decision-making and improve patient care.

www.ajronline.org/doi/10.2214/...
Reposted by ARRS
Errors in emergent neuroimaging can delay critical treatment. This review covers practical strategies, like adjusting window settings and using search patterns, to reduce these common misses.

r3journal.org/doi/10.2214/...
Ready to improve your understanding of MSK oncologic interventions? New treatments for bone tumors and benign masses have emerged that are safe, effective, and less invasive. How do you determine the best approaches for your patients?

Attend this masterclass on Oct 7: arrs.org/ARRSLIVE/ARR...
Reposted by ARRS
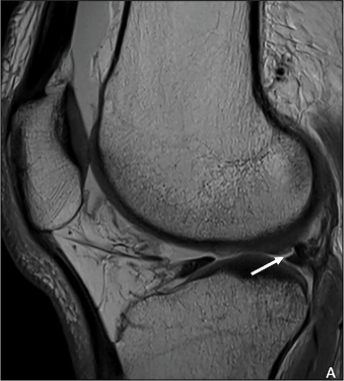
This study assesses MRI's utility in distinguishing lateral meniscal oblique radial tears from other meniscal tears in patients with ACL injury.

www.ajronline.org/doi/10.2214/...
Ready for another AJR Live? Head’s up, we’ve got two of them in October! Learn more and register at arrs.org/ajrlive
Reposted by ARRS
This new R3 pictorial essay examines the most common mistakes in emergent brain imaging and how to avoid them.

r3journal.org/doi/10.2214/...
🔗 Learn more about our newest member benefit, the Roentgen Key Case Catalog, and find the answer to this week's case at arrs.org/CaseCatalog
Based on the findings, a subsequent scrotal ultrasound and endoscopic biopsy were performed, confirming the diagnosis.
His blood workup was significant for elevated βHCG - 21,603, AFP - 11,103 and LDH - 700. He underwent a contrast-enhanced CT scan of the chest and abdomen.
🔍 A 29-year-old male presented with chest and abdominal pain as well as 1 month of worsening bilateral flank pain. No significant past medical or surgical history was noted.
Reposted by ARRS
This R3 Pictorial Essay details neuroimaging of select parasitic diseases that may be encountered in diverse patient populations, including the enhancement pattern of cerebral schistosomiasis.

r3journal.org/doi/10.2214/...